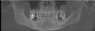
王先生是一名普通的深圳市民,多年前磨牙处牙齿龋坏,王先生在未经过任何的诊疗下,索性直接到街头的诊所拔掉了坏掉的牙齿。由于拔掉的牙齿在里面,并不影响形象,王先生并没有当回事,由于牙齿长时间的缺失,加上清洁不到位,王先生吃饭一度很难受,咀嚼难受不说,也总是塞东西,牙齿清洁不易,致使左右两侧和咬合的牙齿都出现了不同程度的倾斜,王先生悔不当初,一定要重新给自己的牙齿安装上去。

了解到种植牙可以媲美真牙,经朋友介绍加上网络上大量查询资料,王先生了解到麦芽口腔是由原深圳二院口腔科主任郑苍尚教授领衔的医师团队,而麦芽口腔中方院长游勤波从业十余年已经种牙上万颗,有着丰富的临床实践经验。王先生说让有经验的医师为我种植我很放心!





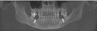
麦芽口腔中方院长对王先生的口腔ct片进行专业深度的分析之后,决定为其种植麦芽数字化生物种植牙,“麦芽数字化生物种植牙”,运用数字化、纳米、微痛、保证口腔功能重建和舒适修复的同时,兼顾口腔美学修复,既能快速修复牙齿,恢复咀嚼,同时能够达到较好的美观程度,术中采用STA美国微痛麻醉,确保了手术全程的舒适度,且采用数字化3D种植导板技术,能够更加准确、更加快速找到最佳植入位置,有效避免手术过程遭受痛苦,保证了手术成功率。



种植完成后的王先生与游勤波院长

种植完成后的王先生说:“从术前准备到种植完成,整个过程我感觉很舒适,而且都经过严格的消毒过程,医生都很负责,种植过程也感觉不出疼痛的感觉,技术很棒!以后我的牙齿就交给麦芽了!”
上一篇:种植牙和我的真牙一样