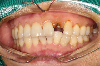
家住深圳的邓女士是一家个体户老板,年轻时忙着做生意,对牙齿的清洁也疏忽,甚至牙齿有了蛀牙之后也无暇去看医生,再加上平时牙齿卫生也不注意保持,前一段时间邓女士龋坏的牙齿渐渐脱落,剩下的只有牙齿残根。

牙齿的缺失很不巧的是正好是门牙的部位,非常影响形象,跟人交谈都不敢开口大笑,吃东西的时候还总是卡在牙缝东西,清洁非常不易,加上最近一段时间,由于牙齿缺失,旁边的牙齿缺少倚靠,邓女士觉得门牙都开始松动,听朋友说到种植牙是牙齿缺失最好的修复方式,看到麦芽的活动并充分了解了之后决心重新修复自己的牙齿。
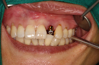
麦芽口腔硕博种牙团在了解到邓女士的情况后,对口腔全景ct深度分析,邓女士的剩下的牙齿残根已经无法再满足做普通的牙齿的美学修复,只有拔除剩下的残根,做种植牙才是最佳的牙齿修复的方式。麦芽硕博团为邓女士选择麦芽数字化生物种植牙保证口腔功能重建和舒适修复的同时,兼顾口腔美学修复,既能快速修复牙齿,恢复咀嚼,同时能够达到较好的美观程度,术中采用STA美国微痛麻醉,确保了手术全程的舒适度,且采用数字化3D种植导板技术,能够更加准确、更加快速找到最佳植入位置,有效避免手术过程遭受痛苦,保证了手术成功率。

牙齿拔除之后

安装种植体

种植体完成后

种牙完成后的邓女士

经过麦芽口腔医师团队的努力,邓女士终于露出了久违的笑容。邓女士表示:“医生的技术很好,整个过程丝毫没有感觉到是在做一个手术,感觉就是在牙椅上躺了一个小时,醒来之后牙齿残根不见了,种植牙和我的真牙丝毫看不出有什么区别,感谢麦芽口腔”。

种牙后的牙齿情况
上一篇:徐女士:吃花生米把牙崩掉
下一篇:磨牙多年缺失 影响临牙健康