“医生,我才25岁就已经有两颗大牙烂掉了,怎么办?”“医生,我从30岁就开始掉牙,现在掉了不少了,应该怎样补救?”口腔门诊中,不少年轻人道出了自己的困惑。牙缺失似乎不再是老年人才有的专属疾病。调查数据显示,我国成人和老年人龋病患病率分别为88.1%和98.4%,成人和老年人牙周健康率只有14.5%和14.1%,37.0%的成人和86.1%的老年人存在牙齿缺失问题。近年来,牙周炎这种侵犯牙龈和牙周组织的慢性炎症,逐渐成为成年人牙齿缺失的主要原因。年轻人牙缺失已经越来越常见,并且逐渐呈现年轻化。

在麦芽口腔进行全口种牙的33岁办公室白领王小姐就是如此,王小姐是由龋齿引发的传染性牙周炎症,因为一直拖着没去检查,不但口腔有异味,牙龈易出血,吃东西也用不上力。更恐怖的是,牙根暴露愈发严重,牙齿松动、脱落也就不可避免了。近日,种完牙的王小姐为我们介绍一下她的牙齿情况。
姓名:王小姐
性别:女
年龄:33岁
职业:办公室文员
牙齿问题:全口牙齿松动、脱落
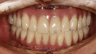
种植方案:ALL-ON-6即刻负重种植

“是什么原因导致要全口种植的?”
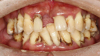
“蛀牙啊,就是十年前第一颗蛀牙的时候不敢去看医生,然后就一直放着,之后引起牙周炎疾病,造成传染性的整口牙周病,导致牙龈萎缩,牙槽骨吸收,牙根暴露,满口牙就都坏了。”
“为什么会怕看医生呢?”
“小时候在学校,有一次口腔检查,结果说我牙齿蛀了,需要补牙,放学直接把我点名留下来去了学校医务处,医生直接给我补牙。有阴影,那么小,在那补牙,家长也不在,无缘无故的,就看那个钻在牙齿里钻。后来就极度恐惧牙医。长大后,我发现我牙齿蛀了,我想起童年那段经历,就拒绝看牙医。”
“那又是什么促使你下这个决心种牙的?”
“在2006年的时候,我看我自己门牙不怎么好,上门牙就做了三个烤瓷牙。由于自身护理不当,结果在今年,门牙掉了,上牙牙齿断的,蛀的,黑的黄的,下牙因为智齿长得也不好,下半口牙被智齿挤得歪歪咧咧,一张嘴整一恐怖电影。牙齿丑吧也就忍了,可是门牙掉了,吃东西不能吃、平时见人打招呼都是个问题,那真的就不能忍了。要知道现在人出门,因为不方便张嘴见人,没有表情别人还会觉得奇怪。所以找医生解决根本问题比较重要。”

术前牙齿照片

术后照片

手术CT片
“那为什么选择麦芽口腔呢?”
“看到麦芽口腔规模大,医院让人有安全感,看起来很专业。现在看病,最重要就是安全感,安全感来自医生,别人会说去公立医院,关键我的口腔问题自己都能列一堆,去公立医院排队挂号需要花费太久时间。牙齿这种问题等不了太久。也算运气好,找到麦芽口腔的游院长,毕竟手艺好,待人也好,而且护士真的好好,好细心,来这里以后我就不那么害怕医生了,童年有过不愉快看牙经历,导致害怕牙医。当初如果第一颗蛀牙及时治疗,也不至于今天需要全口种植啦。”
“未治疗之前牙齿的这个情况给生活带来哪些不便呢?”
“其实我所有同事都知道我牙齿不好,办公室最多的就是零食,但是我,干果不能吃,甜食不敢吃,冰冷的不敢吃,就是水果都要考虑这么大一块要拿刀切到什么时候····大家看我这样,纷纷表示要赶紧去看口腔医生,做检查看牙齿怎么样。我给身边人做了一个反面教材,也算是为社会做贡献了。”

术前照片

术后照片
王小姐手托腮对小麦做了个极度无奈的表情。
“那刚刚做完全口,感觉如何呢?”
“还好,没有大反应,也不会有儿时的恐惧感,大概就是因为医生和护士都很温柔,哈哈。我妈还在家里给我想着做什么吃的。我来做牙齿,就天天看美食节目激励自己,赶紧去把牙齿种好,以后就可以吃很多美味!这个意念在支持我一定要来做种植牙!!”
上一篇:磨牙多年缺失 影响临牙健康