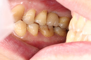
蛀牙不治疗,易致牙缺失
家住龙华的许女士,在饮食上偏好吃甜食和酸食,加上没有养成定期口腔检查的良好习惯,导致在初期蛀牙时没有及时发现、及时治疗,而是直到出现松动、疼痛难忍等症状时,牙齿已经发展成重度蛀牙。为此,许女士曾一度感慨到:“拥有的时候不知道珍惜,直到失去才后悔莫及”。

许女士来麦芽口腔
因为牙齿问题吃不好,睡不好的,经朋友推荐慕名前来麦芽口腔,又在自家小区看到麦芽的公益宣传,通过网上充分了解之后就来试试。
当天种牙为麦芽点赞
麦芽口腔中方院长游勤波和麦芽特邀专家孙海鹏博士指出许女士因蛀牙导致上牙左右两边第一磨牙缺失多年,已经影响到许女士的咀嚼功能,甚至影响食欲和破坏肠胃健康,过早牙缺失,会导致一系列的身体危害而不自知。出于对身体健康方面考虑,决定为许女士采用种植牙修复并成功种下德系品牌种植体。

医生为许女士做口腔检查

许女士术前口腔全景片

医生为许女士采取德国种植牙方案

植牙模拟判断咬合程度



种牙完成的许女士说道:“常年单侧咀嚼,现在感觉脸都变形了,非常感谢麦芽口腔,弥补了我多年缺牙的遗憾,做手术的时候就感觉是像被蚊子“叮”了一下,牙齿就种好了。麦芽的种植技术超赞!”


种牙完成后口腔ct全景片
上一篇:缺牙女工程师种牙成功重拾笑容
下一篇:种植牙其实就这么简单