原来种牙这么轻松,没有任何不适感
坏了的牙要拔,缺了的牙要补——听上去很轻松的道理,却让多少人胆战心惊。
“在6年前第一颗牙齿脱落时就了解到种植牙技术了,但一直很碍于怕痛、又是一颗螺丝钉拧在口腔里面,担心它在里面会不会生绣,来自四川的郭女士,尽管6年前因蛀牙导致左下2颗牙齿脱落缺失后,到现在都不敢去种植的原因。

郭女士
今年40岁的郭女士是典型的“怕痛”案例,曾几次在徘徊在口腔诊室外,都没勇气进去,后来在同事的建议下改做了活动义齿,做完后感觉牙齿体积较大,异物感强,稳固性差,戴不习惯时间一长就不想戴了,因为怕痛,宁愿长期忍受缺牙的不适也不敢想种植牙,现在由于长期缺牙造成单侧咀嚼,形成偏脸畸形,直接影响面部美观,这是郭女士目前面临的现状。

郭女士术前口腔ct全景片

不到一小时成功种牙 种植过程微创微痛
深圳麦芽口腔游勤波院长表示:“种植过程中的创口比患者想象中小很多,甚至没有拔牙的1/2,种植牙技术如今已经相当成熟,整个过程可以做到微创、微痛。”经过游院长的详细沟通后,郭女士的恐惧就已经消除了一大半。




“手术前非常紧张,即使工作人员一直很温柔的不断提醒我,但我仍止不住的害怕,开始手术后,工作人员非常细心,每一个步骤都仔细认真的讲解给我听,手术真的不觉得的痛疼,而且手术很快就结束了,术中没有任何的不适,原来种牙这么轻松,没有任何不适感。”术后郭女士高兴的说道。


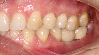
种植牙后口腔内全景片

种植完成后的牙齿情况
牙齿拔了或掉了后能不种吗?深圳麦芽口腔游勤波院长告诉你:“拔而不种,问题严重。”牙齿拔了后,左右两边的牙齿就会互相靠过来,上面对准的那颗牙齿由于一直没有机会咬合,会慢慢发生移位,收关影响咀嚼功能,甚至导致咬颌关节疼痛、咬合困难等。近年来随着经济和生活水平的提高,“牙病不算病”“老掉牙是正常现象”这样的旧观念已经被人们逐渐摒弃,越来越多的人对口腔健康要求越来越高。
上一篇:许女士:虫牙不治,缺牙烦人
下一篇:缺牙人的心酸谁知道?