开心大妈变闷口葫芦
今年56岁的赵女士是某化工研究所的退休机修工程师,由于常年对牙齿疏于保养,3年前两颗磨牙因蛀牙被迫拔除。这让这个本来性格开朗的工程师变成了闷口葫芦,牙齿的缺失影响美观不说,吃东西也非常的不便了,只能用一边来咬东西。

赵女士参加麦芽口腔公益种牙活动
不到1小时牙齿就种好了
在麦芽口腔举办的公益活动中,赵女士成为首批公益种牙的幸运儿,麦芽口腔中方院长和麦芽特聘专家、人民医院口腔种植中心孙海鹏博士在对赵女士的牙齿情况做了综合检查深入分析指出,赵女士当前情况为左上4/5牙长期缺失,牙槽骨已经出现一定程度的萎缩吸收,如果长期以往不仅牙槽骨吸收越来越严重,也会影响到邻牙的健康,增加后期修复的难度。从X光全景片上,还可以看到,由于长期单侧咀嚼食物,患者脸型已经出现轻微偏脸畸形,影响了面部美观。

医生为赵女士检查牙齿情况


赵女士种牙前口腔全景ct
由于赵女士长期牙缺失,牙槽骨已经出现萎缩吸收,导致两边邻牙倾斜,因此她的牙缺失间隙在动态变小,牙齿的间隙不够种植两颗牙的位置,但是种一颗牙又显得空间有点偏大,最终游勤波院长和孙海鹏博士经综合考虑,采用麦芽数字化生物种植技术,数字化精准导航种植,采取了种植一颗连冠修复的方式,只需一颗种植钉就可以达到修复两颗牙齿的目的,仅仅不到一个小时就帮赵女士种上了牙齿。


赵女士手术过程中

赵女士成功种植种植体
医务人员好细心
种牙后的第二天,接到麦芽工作人员的回访电话的时候,赵女士开心的大声说道:“想不到种个牙原来是这么快,这么简单。刚进种植室时,看到这个手术室太正规,太高端了,细节做的太好,我有点小紧张,麦芽的工作人员都很热情,服务很到位,消毒包都是现场开的。医务人员怕我害怕,就像哄小孩一样,每一个步骤都要亲切地提醒我,太棒了!”

种牙成功后的赵女士

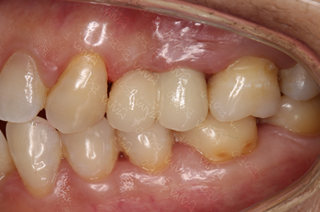
种植完成后的牙齿

种牙成功后口腔ct全景片
根据赵女士的情况,麦芽中方院长游勤波提醒广大牙缺失患者,不要长期置缺牙不理,不然不仅会出现像赵女士一样牙龈萎缩、牙槽骨吸收、增加种植难度,身体健康也面临着各种隐忧。
上一篇:今天终于帮妈妈把牙种上了
下一篇:许女士:虫牙不治,缺牙烦人