郭灵声,1946年出生,祖籍山西,1992年人民日报社《市场报》驻深圳联络中心主任、深圳信息中心主任、人民日报资深记者,历任香港《凤凰周刊》高级记者,山西作家协会会员。
人民日报社《市场报》于1979年10月1日创刊,是改革开放后我国第一张经济类报纸,郭老作为人民日报首批特派深圳办事处中心主任,已来深二十六年,如今71岁的郭老一直居住在罗湖,是深圳老一辈的拓荒牛,年青时跑新闻走遍深圳的各个角落,也为各种名人、明星做过相关的采访报道。

图右一为郭灵声





半口假牙,让郭老晚年生活黯然失色
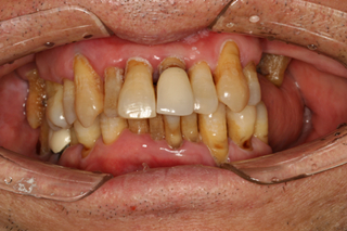
性格开朗、生活无忧的郭老却一直为牙齿问题而苦恼,原来在十几年前,郭老就已经安装假牙,但当时技术、条件并不好,假牙用过几年后就脱落了,又在检查过程中查出口腔患有晚期牙周炎,经过拔牙、治疗后,仍然没有达到满意的效果,治疗后的牙冠让他吃东西塞牙、吃东西无味,让他苦不堪言。


郭老口内照片

郭老牙齿全景片
于是,郭老下决心修复牙齿问题,由于前期已受够牙齿的各种折磨,所以在面对再次选择时郭老特别慎重,郭老认为:“选对口腔机构很重要,选对一名优秀的、技术好的、负责任的口腔的医生更为重要,所以要对比医生的医德医技、对比口腔机构的设备、环境还有各项服务好不好,这些都是选择口腔机构的硬性标准,心里的一把尺”。而近几年来郭老一直在关注口腔行业的进展,在全国各地旅游的同时到处了解口腔机构,参考了众多的口腔技术、治疗方案、口腔设备等。
几经对比,相信麦芽,相信科学
几经对比、了解后,在一次“幸福晚年有口福”公益系列普查活动中了解到了麦芽口福基金,并通过几次的实地考察,慎重的郭老最终选择了麦芽口腔,他表示:“我参加过麦芽口腔的几次学术活动,如4月份的数字化口腔种植学术论坛、8月份的华南疑难口腔种植论坛等,还通过网络、报纸等媒体一直在关注麦芽口腔,麦芽是真的实实在在为人民服务,实实在在的在做实事,每次来麦芽的服务真的都特别好,所以,我还是比较相信麦芽口腔,相信郑院长的经验和技术”。郭老并顺利地通过了麦芽口福基金申请。
通过一系列的检查后,麦芽口腔郑苍尚院长为他量身定制了“微创微痛数字化口腔种植牙”技术,舒适的种牙体验,就像被蚊子“叮”了一下牙就种好了,用郭老的话说:“种牙过程很轻松,全程微痛,种完后也不肿不痛的,相信麦芽就是相信科学”。

郑苍尚院长为其检查牙齿情况

一期种牙之后的牙齿
种上好牙,在快节奏的深圳,享受闲适慢生活
2016年11月,他成为了深圳市社会公益基金会.麦芽口福基金的第8位受益者,如今缺牙多年的人民日报社老记者郭灵声,终于又“长”出一口漂亮的牙齿!

在12月18日“麦芽口腔一周年庆典”上,郭老向大家分享他缺牙重生的故事,来深二十六年,缺牙多年,郭老“带着假牙,吃东西既塞牙又没味,牙周经常发炎”的苦日子,终于一去不复返了。

有口好牙后和朋友一起尝美食、旅游、唱歌便成了生活中必不可少的一部分,美食除了给他带来口福外,还让他的退休生活充满乐趣。用郭老自己的话说,“年青时奋斗,老了诸多不便,只想过简单的生活”。