姓名:谢铭勋
年龄:78岁
主治医生:郑苍尚院长
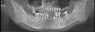
牙齿情况:口内牙齿松动,牙齿根尖有炎症,多颗牙齿缺失
治疗方案:麦芽微痛微创种植牙
谢铭勋,1938年出生于江苏,1960年开始从事科研工作,同年,因前苏联核武器研究院在华专家全部撤离,并把重要的图纸数据全部带走后,国家开始筛选召集大批科研人才,于1961年被选入中国第九研究院,在 “两弹元勋”朱光亚、邓稼先院长的领导下从事核武器的研制工作,为我国的国防事业作出了重要贡献,他的著作《再入遥测技术》上下册于1992年由国防工业出版作为基金书出版,并于2010年获国家优秀国书二等奖。鉴于他对社会作出的贡献和取得的成就,2000年光荣入选世界极具权威的《国际名人录》并享有“跨世纪国际名人”荣誉称号。

年轻时候的谢铭勋与妻子
专注科研,默默奉献
老科学家却没时间看牙
众所周知,科学研究是一项繁重的脑力劳动,而大脑的活动需要足够的能量和营养支撑,这对一名科学家来说非常重要,摄取充分营养的最基础条件就是要拥有一口好牙,但对于谢铭勋这一代人来说,早期对口腔的保健重视不够,加上平日工作太忙,更是忽略了对牙齿的护理,回忆起研究工作时,谢铭勋的眼里闪现着熠熠光芒,参加原子弹科研工作期间,奔赴青海、北京等地,每天早上六七点出门,到晚上十一点后才休息,每天都在研究、思考,碰到瓶颈期更要接着思考、继续研究,每天反复如此。

现在的谢铭勋先生
用他的话说:“年青的时候只顾学习知识、钻研科学,没有时间也没有这个口腔的保健意识,等出现牙齿问题的时候也认为人老了,牙掉了也是正常的事”。
如今谢铭勋夫妇退休多年后,一直随女儿居住在加拿大,生活无忧,却因牙缺失导致咀嚼不便,甚至连吃豆腐都会酸痛而苦恼,几年前也做过假牙,不仅吃东西卡,且戴过一段时间后,假牙的勾子导致邻牙松动脱落,以致假牙无法使用。考虑到口腔健康对老年人的重要性,家人们都积极支持他修复牙齿,最终无法忍受缺牙的折磨他决定回国看牙。由于妻子退休前在医院工作,所以对国内的医疗服务谢铭勋夫妇更多了一份信任。

谢铭勋牙齿情况
缺牙导致咀嚼不便,食物还未嚼碎就进入胃肠,不仅影响营养成分的吸收,还容易引起消化系统疾病。
缺牙修复,重逢老友
老科学家夫妇喜笑颜开
对于这次回国,谢铭勋夫妇表示:一个原因是想修复牙齿,另外就是探亲访友,找到同时退休、但出国几年现在基本也联系不上了的深圳老同事、老朋友。
就在苦恼之际,这对老夫妇通过报纸看到了“深圳市二院原口腔科主任郑苍尚教授领衔口腔的团队”后,便通过上网搜索,了解到麦芽口腔不仅为深圳大量的缺牙市民重拾了口福,还是中国工程院口腔双院士点赞机构。

深圳市二院原口腔科主任郑苍尚教授领衔麦芽口腔医师团队
“来到麦芽看到这里的环境和服务都特别好,进来后看到专家墙,我们一眼便看到了郑院长简介,经过接触交谈后,发现郑院长为人特别亲切,不仅耐心的解答我们的疑问,还非常热心的帮忙联系到了以前在二院的同事,那种感觉可好了,不仅修复了牙齿,还找到了老朋友,那心情就像双喜临门,好事连连的感觉”,谢太太高兴的说道。
经过检查,郑苍尚院长发现谢铭勋口内上颌缺牙3颗,下颌缺牙6颗,余牙松动,牙根尖伴有炎症,且因长期牙周疾病,牙槽骨有中度萎缩,最好的治疗方案就是选择种植牙。根据谢铭勋口内的情况,郑苍尚院长为他量身定制了麦芽口腔微创微痛种植牙技术。

谢铭勋口内牙齿情况

口腔全景片
麦芽口腔微痛微创种植牙
微小切口,缩短种植时间
麦芽微创微痛种植牙技术,采用美国先进微痛镇静技术、全数字科技口腔技术以及舒适微痛氛围培育,融合纳米生物技术植入种植体,让生物种植体和人体组织完满融合,快速融入牙周组织,像真牙一样"长"在患者口腔,生物相容性极佳,具有坚固稳定、仿生美观等多重优势,获国际口腔界公认。
仅3-4毫米微小切口,减少了肿痛和出血量,缩短了种植牙时间,种植位置更准确,种植成功率更高,帮助了无数害怕疼痛的缺失牙患者,轻松拥有一口好牙。
术前制作精准的数字化3D种植导板,把握种植角度、深度、吻合度,准确定位、精准植入,无缝对接牙床,避免传统种植全凭医生经验,而造成的手术风险。

种完牙后的口腔全景片

谢铭勋夫妇参加麦芽口腔一周年庆典并点赞