求美不成,牙齿反而掉光光
来自香港的郄女士是位时尚的爱美人士,早在10年前就意识到牙齿对人容貌的重要性,一口整齐洁白的牙齿实在令人加分不少,而偏偏自己的牙齿却因发黄、畸形、排列不齐常常令她感到困扰,又因蛀牙饱受折磨,爱美的她干脆心一横,不管好牙、坏牙,把上颌包括门牙在内牙齿全换成烤瓷冠。但由于当时条件的限制,选择材料和技术不过关,做的烤瓷冠密闭性不好,以致牙齿里面的牙根逐渐发炎、腐烂以及松动。

郄女士咨询种植牙

一口糟糕的烂牙,让郄女士痛苦不堪,她说:“现在根本没办法和同事、家人一起吃饭,吃的慢不说,稍硬一点的米饭都能让牙齿自然脱落,别提有多尴尬了,而在日常生活中,除了吃流食外,还不敢张口笑,怕人家一见到我的牙齿就纷纷议论”。
选择正规口腔机构很关键
再也不想过因牙齿导致的痛苦生活,郄女士决心修复牙齿问题,打一场实实在在的“牙齿保卫战”,除了摆脱长期无法品尝美食的痛苦外,还要恢复自己的正常社交生活,并且在不影响正常生活、工作的前提下修复完成。经过多方对比深港两地的口腔机构,在了解到麦芽口腔是当前深圳规格最高的口腔机构之一,拥有来自德国较先进的齿科设备以及深圳首批名医郑苍尚教授领衔深圳顶级的口腔种植医师团队后,郄女士毅然决定选择在麦芽口腔接受口腔种植修复。

医生为其检查口腔牙齿情况

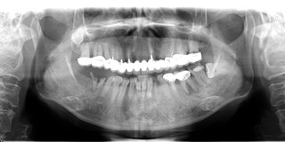
郄女士做口腔ct检查

郄女士口腔ct全景片
通过科学的德国卡瓦数字化口腔CT三维检测,麦芽口腔种植医师指出,由于长期对口腔疏于护理,郄女士的口内存有大量残根烂冠,咬颌空间不足,种植难度非常大,且上颌骨前突,为进一步达到美学效果,需要进行上颌前牙区牙槽骨修整术,整个治疗方案对医生的技术要求非常高。
像被蚊子叮一下,牙齿就种好了
根据郄女士的口腔内实际情况和她本人对牙齿美观/恢复咀嚼功能的要求,2015年底,麦芽口腔种植医师团队为其实施了半口无牙即刻种植、即刻修复技术。

麦芽硕博团为郄女士做种植牙

种植体的植入

模型的制备

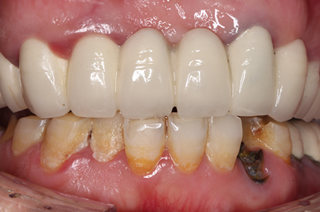
种牙成功后的郄女士

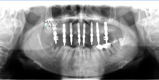
术后口腔ct全景片

种植成功后的牙齿
经过麦芽口腔医师团队的努力,饱受牙齿缺失困扰的香港美女面点师郄女士,终于摆脱长期无法品尝美食的痛苦,露出了久违的笑容。郄女士表示:“手术全程就是在打麻药的时候有点痛,就像蚊子咬一样,是在可以接受的范围,手术过程整个工作人员都很贴心,每一步都告诉我接下来要做什么,我觉得把牙齿问题交给麦芽,交给麦芽种植医师团队我很放心”。

郄女士为麦芽点赞
上一篇:缺牙人的心酸谁知道?
下一篇:徐女士:吃花生米把牙崩掉