今年75岁的老李是一名退休干部,退休之后的老李生活非常的单一,忙碌了大半辈子终于可以享享清福了。但对于老李来说,由于长时间的对牙齿没有好好的护理,半口牙齿几乎掉了个精光,去年安装的假牙也是咬东西没有什么味道,而且卡环的钩子导致他张口都感觉到疼痛,“去年才装上的,只用过两三次,就不想用了,太痛苦了。”老李痛苦的说道。

老李
老李的儿子们看到年迈的父亲辛苦了一辈子还要受这种罪,为了助父亲能重拾“口福”,他们了解到了种植牙技术,并积极帮助父亲寻找合适的口腔机构,最终,在儿子的支持与鼓励下,老李找到了麦芽口腔种植医师团队。
牙槽骨萎缩,传统种植难解
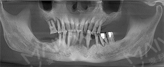
经过先进的CT拍摄发现,麦芽口腔种植医师团队指出,由于长期对口腔疏于护理,李老的牙周情况非常差,余牙松动,且牙槽骨萎缩、吸收,现存骨量无法进行传统的种植牙术式。

老李种植前全景片检查
即拔即种即用,老人终圆美食梦
对于老李这样的中老年群体,麦芽口腔数字化生物种植牙中的All-ON-4种植技术打破传统种植技术瓶颈,可以破解牙槽骨萎缩、骨量不足等种植难题,而且手术过程无需植骨,让老年缺牙群体也能实现快速种牙。对比传统的种植牙技术,大大减少就诊时间、减少痛苦和节省费用,实现患者当天种牙当天啃苹果。

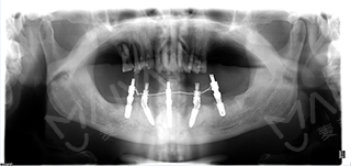
种植5颗牙后口腔全景片
经过前期的牙周清洁、治疗后,根据李老口内实际情况,为达到更好的增加负重、增强咀嚼能力效果,麦芽口腔种植医师团队对ALL-ON-4种植技术进行升级和改造,为其量身定制了“ALL-ON-5”种植方案,治疗后总共恢复24颗牙齿。

手术后的老李
术后,老李看着镜子里自己刚种好的“牙齿”,居然比自己的原牙还漂亮,老李高兴地说,“太好了!回去我终于能想吃啥就吃啥了!”。为此,老李在术后第3天特地赋诗一首,并制作锦旗,表达对麦芽口腔的感谢及对麦芽种植医师团队的感激之情。

老李大赞麦芽口腔
类似老李这种老年人缺牙问题,应当尽早引起重视,为此,麦芽口腔院长表示:全口或半口无牙造成咀嚼功能丧失,加重胃肠系统负担,导致胃肠功能紊乱,面部皱纹增加,面型改变,对身体及美观影响甚大,而拥有一副健康的牙齿,咀嚼功能好,营养摄取全面丰富,对健康和长寿有益。
上一篇:75岁老年人修复多颗缺牙