田奶奶,今年92岁,由于多颗牙齿缺失一直佩戴活动假牙,但是近年来一直对假牙过敏,不能经常使用,严重影响正常生活和进食。今年春节的时候,由于在网上看到麦芽96岁孔奶奶的成功种牙案例,便萌生了做种植牙的想法。

据田奶奶的爱人介绍,由于田奶奶多年来一直缺牙,营养一直跟不上,经常容易发生头晕心慌等迹象,让一家人都担惊受怕。“阿太之前一直用着假牙,虽然说咬合力不是很行,但是软一点的食物还是能吃下去,可是近几年阿太对假牙的不适越来越严重,一戴假牙就会恶心,而且假牙也很容易掉落,换了几幅假牙也是这样。早些日子看到你们医院的孔奶奶案例,便想着带阿太来试试。儿子们大了也不差这一点钱。”

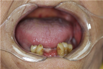
种牙前
在医院,麦芽种植牙专家游勤波医生为田奶奶检查一番后,发现田奶奶由于长期缺牙,口腔内环境堪忧,需要先进行牙周治疗后再施以种植牙手术。而且由于田奶奶年龄比较年迈,需要进一步调理,便制定了即刻用种植牙修复方案。

种牙后
在田奶奶牙周治疗后的两个星期,游专家先是通过口腔CT准确地测量出牙槽骨的质和量,以及牙骨高度、宽度、张口度、咬合状况、面部线条等数十项口腔数据,通过建立3D数字模型模拟种植,形成精准治疗方案,而后通过3D打印种植导板,准确植入种植体,帮田奶奶完成牙齿修复。

游专家指出患者用假牙吃东西,有时候不得不加大咬合的力度,可能导致假牙与牙龈黏膜的过度摩擦,容易引发创伤性溃疡;如果假牙出现毛刺、不光滑等,长期刺激黏膜,甚至可能引发癌变。即使假牙维护很好,完全没有变形,也不代表就能一直用,因为口腔的环境也在发生改变。随着牙槽骨的进行性吸收,假牙与口腔黏膜之间的密合度就会降低,使咀嚼效果变差,甚至可能一张嘴就掉。
在手术半年后,田奶奶回来检查,跟我们透露到游专家的技术真的很好,手术半年来没有什么并发症或者后遗症,而且麦芽的即刻种植很适合中老年人调理,现在牙齿用得很好!
麦芽口腔专注种植牙,当天种牙当天吃饭的即刻用种植牙技术, 种植牙手术安全数值基础方面取得了让人惊喜的成绩,就算是一些因为身体原因无法进行种植牙手术的患者也可以进行专种牙。
上一篇:30分钟刻即种即刻用,全程无痛
下一篇:75岁老年人修复多颗缺牙