“儿子把我从湛江接过来深圳一起生活,我本来想着能给儿子带小孩,但没想到由于自己牙齿不好,这也吃不下,那也吃不了,反而成了儿子的负担。”说起自己来深的感受,陈志斌一脸的无奈。

陈老伯谈自己的缺牙感受
明知身体健康重要 却因缺牙身体日渐虚弱
因为蛀牙,今年73岁的陈老伯,10多年前牙齿就开始慢慢脱落,到现在大牙已经掉了6颗。“因为缺牙后吃不了肉,平时吃得最多的就是鸡蛋,缺牙后就去镶了假牙,后来牙齿经常发炎,一疼一两个小时,一两天才可以吃一点东西,生活很不方便。”被问到缺牙后的困扰时,陈老伯接连摇头。
随着年龄的增大,陈老伯对身体健康也更加注重,每天早晚都要去附近公园散步,没事的时候就和邻居老人一起下象棋,生活看似悠然自得,牙齿缺失却是他的一块心病,对他的身体健康也有不小的影响。“牙齿缺失导致我不能享受口福,营养自然也跟不上,最近开始身体已经越来越虚弱。”陈老伯说道。由于镶牙引起的牙齿发炎,陈老伯已经不敢再去镶牙,正在不知如何修复自己的牙齿时,在一次闲聊时听社区的其他老人说起种植牙和真牙一样,陈老伯也动了想做种植牙的念头。

陈老伯面部照

陈老伯种牙前口内照

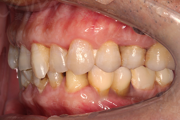
陈老伯种牙后口内照
多方咨询被拒 麦芽口腔重燃种牙希望
在儿子的陪同下,陈老伯多方咨询,但由于缺牙时间太长,年龄也已经很大,做种牙手术的需求被多家医院拒绝。本来已经不抱希望的陈老伯偶然在社区里看到麦芽口腔的广告后,决定收关再来麦芽口腔了解一下。
麦芽口腔博硕团接待了他,了解了他的情况后,医生告诉陈老伯,他符合种植牙的条件。听到这个消息,陈老伯十分高兴,“奔波了一个多月,本来没有指望能种上牙了,没想到收关在麦芽口腔看到了希望。”陈老伯兴奋地说道。但由于缺牙时间过长,陈老伯的上颌骨量严重不足,种植牙条件非常艰巨,必须通过植骨手术来解决这一问题,并且他的上颌有动脉血管,手术时上颌开口误差要确保在3mm之内,如果手术过程中不小心割破血管,后果将不堪设想,因此手术对医生的操作水平要求十分高。
5月22日,在儿子的陪同下,陈老伯早早就来到了麦芽口腔,博硕团先为其做了上颌植骨手术,由于植骨后需要等待骨头长出才能种牙,因此先为其先种了下颌的牙齿,整个种牙过程1个小时就结束了。看着自己的新牙,陈老伯喜出望外,他向麦芽种植团竖起了大拇指:“医生的医术很好,整个手术过程很舒服,也不觉得累,打了麻药后一点也不痛,虽然现在只种了下颌的牙齿,但我相信麦芽口腔,相信博硕团,真希望上颌的骨头能早点长出来,让我能早点把上颌的牙齿种上,重拾一口好牙。”

麦芽种植团为陈老伯种牙
牙好胃口好 乐享美味新生活
种牙之后,陈老伯的生活也在悄悄发生变化,不仅恢复了半口咀嚼功能,肉类也可以吃一些了,不再像从前那样,这也不能吃,那也不能吃。对于麦芽口腔,陈老伯也给予了厚望,他希望麦芽口腔以后分院能开到湛江去,让更多缺牙人了解种植牙,享受到麦芽口腔数字化精准种植牙带来的口福。
麦芽口腔博硕种牙团提醒大家:缺失牙后不仅咀嚼受影响,降低了生活品质,而且还有可能导致颌面塌陷,让人看起来特别衰老,影响美观。缺牙后如果不及时修复,牙槽骨不断吸收、萎缩,而这样的结果对邻牙的危害十分致命。久而久之,邻牙也会松动、脱落,“老掉牙“基本上都是这么形成的。所以,缺牙以后一定要马上种牙!
下一篇:一个“口腔专家”的缺牙史