(原标题:麦芽版“尼格买提”——谁说男人不用注重仪表?帅哥更需要矫牙)
曾凡勇
年龄:34岁
职业:高管
兴趣:游泳、旅游、阅读、象棋

曾梦想仗剑走天涯,看一看世界的繁华……年少轻狂的我曾认为凭借着自己帅气的脸庞可以少走许多弯路,收获不少迷妹,的确在事业起步阶段外表起到了不少助力。
加入麦芽口腔品牌连锁后,事业又上了新台阶,因为长相酷似央视主持人尼格买提而被称为麦芽版“尼格买提”,却在管理上遇到了瓶颈——一张口就把人吓到,常常留给别人“太凶、太高傲、不苟言笑、过于严肃、太严厉、不易亲近”的印象…
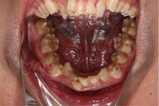
我的牙齿到底可怕到什么程度?前方高能预警———不要被吓到哦

男人不需要注重仪表?
很多人认为男人随便一点无所谓,如果你不是吴秀波级别的雅痞男神,那么不修边幅只会让你因没有礼貌而更不受待见,绝不会成为让你升级为男神的筹码。是的,在这个看脸的时代,男人同样需要注重自己的仪表,成功男士更加需要注意这一点。
身为公司管理层,平时待人接物不仅仅代表自己,还代表着公司形象,一口鲨鱼牙怎能为麦芽代言?而且注重仪表的我,怎能允许自己在洽谈时露出钢牙套?于是我决定立即在麦芽开始隐形矫牙之旅。

30岁之后不能矫牙?
在许多人的印象中,矫牙只属于青少年,30岁之后再矫牙就然并卵了。
真的是这样吗?
麦芽口腔南山机构正畸中心江洋主任一语点醒梦中人:成年人的牙齿矫正治疗与儿童矫正治疗原则无异!由于成年人的发育旺盛期已经基本结束,错过了最佳的治疗时期,所以较儿童矫正治疗所需要的时间长,难度大,对美观要求高。时间长,难度大,对美观要求高。时间长,难度大,对美观要求高。重要的事情说三遍!所以,矫牙要趁早啊,小伙伴们!


矫正前牙齿各个面3D动画

矫正后牙齿各个面3D动画(图上标注处需要待牙齿排齐后再种一颗牙)
蜕变人生,我选择麦芽全隐形矫正

麦芽全隐形矫正矫正器完全透明,即使站在我对面说话都无法发现,外出接洽我也不再惧怕张口交谈。而且隐形牙套它摘戴自如,吃东西前自己就能快速摘下,完全不影响我大饱口福,我开始能够真正享受我的工作与生活。
矫牙后我发现管理难度降低了,同事们说我更爱笑了,具有亲和力的微笑给他们一种温暖的感觉,他们现在喜欢管我叫“阳光萌叔”,但我还是觉得“小尼”比较适合我帅气的外表。
下一篇:没有了