矫牙欲速则不达,正畸失败案例的拯救计划
來源:麥芽口腔
贊: |
好評: |
閱讀:
在现在这个时代,
除了拼自身的本领以外,
只剩下拼“脸”了。
“颜值高”的人生就像在开挂,
然而很多人明明秒杀大批整容蛇精脸,
却因为牙齿而受到阻碍!
失去了属于年轻应有的自信笑容。
就如下面这位何老师
☟☟
青春都毁在牙齿上了
何小姐是幼儿园教师,20岁,正值风华正茂
面对童真的孩童,何老师总是板着脸,倒不是不喜欢小朋友,而是因为牙列不齐、歪斜,一度不敢露牙微笑,幼儿园的小朋友都有点害怕她;有时候露出笑容,小朋友却是童言无忌:“老师,你的牙齿怎么是歪的呢?”这让她时常陷入尴尬,平时家长见到何老师,也会误认为何老师不友好,因此影响了何老师的优秀教师荣誉。
矫牙欲速则不达
为了让自己更自信,何小姐自行在内地的牙科诊所进行了金属托槽矫正。五个月之间他还一直不能适应矫正器,牙齿连蛋糕和香蕉都咬不动,平时主要吃流食。“为了变美我忍了。”但有一天她突然发现上牙牙列稍有整齐,可是牙骨越来越外突,侧面看过去,口腔有明显外突。“我当时都懵了。”

【矫正失败,嘴型明显外突】
对于矫牙的失败,何小姐后悔莫及,“明明是想通过矫正变美,现在受了这么多罪也没有矫正成功,脸型都变畸形了。当初就不应该为了图方便而随便选择牙科诊所进行。”
再次选择口腔机构的时候,何小姐格外的慎重,通过朋友的介绍,加上自己的多方对比,了解到麦芽口腔是时代天使隐形矫治示范基地,麦芽正畸中心医师均拥有丰富的临床经验且获国际资质认证,麦芽正畸中心张超主任更是拥有上千成功矫正案例。连深圳知名主持人田欣伟都为麦芽口腔点赞做代言,这让何小姐最终下定决心选择麦芽口腔来矫正自己失败的牙齿。
国际隐形矫正双认证大师亲诊
拯救正畸失败案例计划
麦芽口腔是时代天使隐形矫治示范基地临床基地,在深圳极具规模、技术实力雄厚力量,对矫正失败等疑难案例,麦芽成立有专门的正畸病例研讨组,整个专家团队对每一个病例进行专业研讨和设计,采取专科团队专家会诊制,同时,还对其进行跟踪效果监督,定期会诊评估,避免治疗失败。
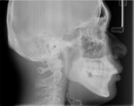
【进行口腔全景片/CT检查】
经过口腔全景片/头颅侧位片和口腔CT检查,正畸大师张超主任诊断:何小姐之所以矫正失败,是因为之前的医生未对其矫正阶段进行准确判断,牵拉过早、频繁加力、力度过大,造成牙齿矫正力度外溢,致使外突。

【专家与其沟通并确定矫正方案及实施矫正】
张超主任经过全面分析认为,可继续使用托槽矫正,不拆卸,减少病人痛苦。何老师现在牙齿外突状况虽然已经对脸型造成了影响,但是牙骨还未变形,严格把控矫正力度,制定分阶段矫正方案,调整过来的成功率还比较高。
【最终排齐牙齿后的情况】
在麦芽张超主任的全程把控下,如今的何小姐已经摘掉了矫治器,牙齿外凸的情况不见了,人也变得开朗自信了很多,在幼儿园里她也越来越受到小朋友的欢迎。
【科学提速、矫牙塑脸型】
何小姐:矫正是一个严谨的事情,需要经过多方论证,到正规专业口腔机构进行,科学矫牙,我信赖麦芽!
麦芽口腔2周年院庆年度大促
麦芽口腔2周岁啦,据悉,11月16日至12月31日为麦芽口腔2周年院庆月,院庆期间美齿全线8.5折,来院即可获得周年庆礼包一份,缴费满3000元即可参与“幸运转盘抽奖”活动,100%中奖!更有超值项目优惠。一年仅此一次的感恩回馈,千万不要错过啦!咨询热线:8233 9968。
溫馨提示:口腔健康問題,不要查看不專業的網站,不要問不專業的醫生。