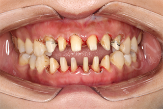
34岁的董女士是深圳市一家食品店的老板,由于自身工作的原因,董女士的牙齿很早便出现了问题,10年前就为自己的上下前牙做了金属烤瓷修复,但是由于平时自己疏于护理,最近牙齿牙龈发黑,为了在客户面前展现最美的笑容,董女士来到了麦芽口腔。

治疗前的董女士

修复前的牙齿
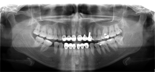
接待董女士的是麦芽口腔的修复学专家熊少军专家,熊医生在得知董女士的情况后,详细地为她做了口腔检查。

拍摄旧义齿口腔ct全景
考虑到董女士牙齿的特殊性和出现的问题,熊少军医生专门为她量身订做了一套麦芽数字化全瓷修复方案。
1、将牙龈作激光环切处理,同时上下颚的烤瓷牙做拆冠制作,按照色标的参数值,初步检查咬合接触关系。



2、充分运用仿生学美学修复技术,患者修复后的咬合关系和整体美观与协调性反复的进行数字化模拟。



内冠回切并最终设计完成

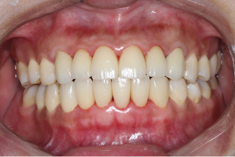
全瓷修复后的牙齿
不到一个小时,牙龈上的黑线消失了,牙齿又恢复了往日的风采,董女士开心的笑了,她说道:“以后又可以开心的和客户交谈了,感谢熊医生,感谢麦芽口腔先进的技术,以后一定好好的护理自己的牙齿!”
上一篇:儿童窝沟封闭
下一篇:没有了